missing translation for 'onlineSavingsMsg'
Learn More

YBX1 Rabbit anti-Human, Mouse, Polyclonal, Proteintech

Rabbit Polyclonal Antibody

Brand:  Proteintech 20339-1-AP-20UL

 View more versions of this product

Product Code. 16859864

  • 145.00 EUR / 20µL

Please to purchase this item. Need a web account? Register with us today!

This item is not returnable. View return policy

Description

Description

YBX1 binds to splice sites in pre-mRNA and regulates splice site selection. This protein binds and stabilizes cytoplasmic mRNA and contributes to the regulation of translation by modulating the interaction between the mRNA and eukaryotic initiation factors. It binds to promoters that contain a Y-box (5′-CTGATTGGCCAA-3′), such as HLA class II genes. It regulates the transcription of numerous genes and promotes separation of DNA strands that contain mismatches or are modified by cisplatin. It has endonucleolytic activity and can introduce nicks or breaks into double-stranded DNA (in vitro), and it may play a role in DNA repair.
Specifications

Specifications

YBX1
Polyclonal
Unconjugated
YBX1
BP 8, CBF A, CSDA2, CSDB, DBPB, DNA binding protein B, EFI A, Enhancer factor I subunit A, MDR NF1, NSEP 1, NSEP1, Y box binding protein 1, Y box transcription factor, YB 1, YB1, YBX1
Rabbit
Antigen Affinity Chromatography
RUO
22608, 4904
-20°C
Liquid
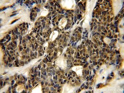
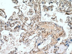
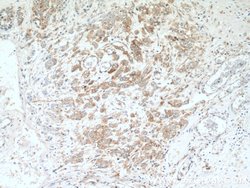
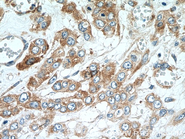
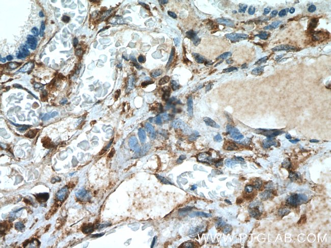
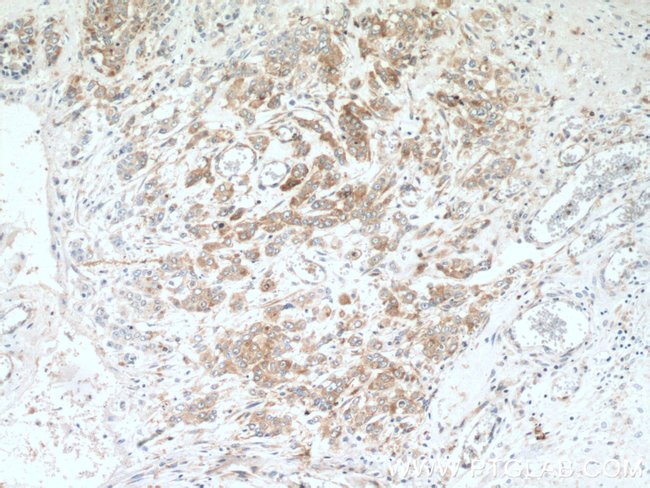
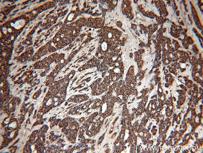
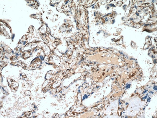
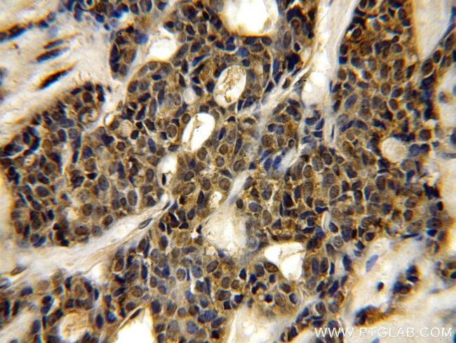
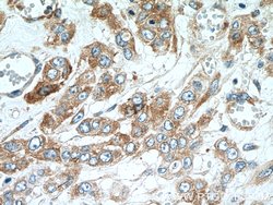
Immunocytochemistry, Immunohistochemistry (Paraffin), Immunofluorescence, Immunoprecipitation, Western Blot
0.39 mg/mL
PBS with 50% glycerol and 0.02% sodium azide; pH 7.3
P62960, P67809
YBX1
YBX1 Fusion Protein Ag14129
20 μL
Primary
Human, Mouse
Antibody
IgG
Product Suggestions

Product Suggestions

Videos
SDS
Documents

Documents

Certificates
Promotions

Promotions

Product Content Correction

Your input is important to us. Please complete this form to provide feedback related to the content on this product.

Product Title

By clicking Submit, you acknowledge that you may be contacted by Fisher Scientific in regards to the feedback you have provided in this form. We will not share your information for any other purposes. All contact information provided shall also be maintained in accordance with our Privacy Policy.

Thank You! Your feedback has been submitted. Fisher Scientific is always working to improve our content for you. We appreciate your feedback.