missing translation for 'onlineSavingsMsg'
Learn More

Invitrogen™ TLR5 Monoclonal Antibody (19D759.2)
GREENER_CHOICE

Product Code. 13219418
Change view
Click to view available options
Quantity:
100 μg
Unit Size:
100µg
Product Code. Quantity unitSize
13219418 100 μg 100µg
1 options
This item is not returnable. View return policy

Product Code. 13219418

Brand: Invitrogen™ MA516237

Please to purchase this item. Need a web account? Register with us today!

This item is not returnable. View return policy

Mouse Monoclonal Antibody

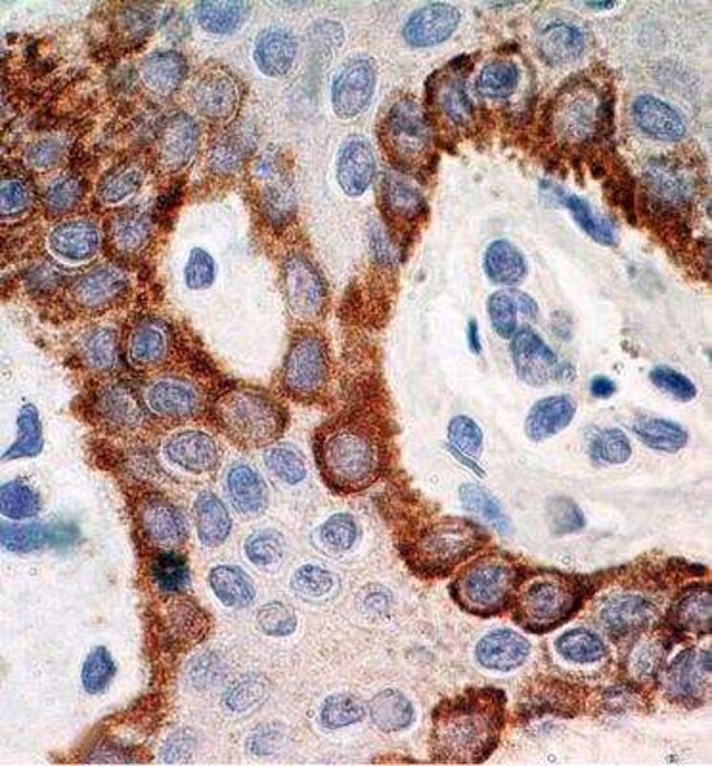
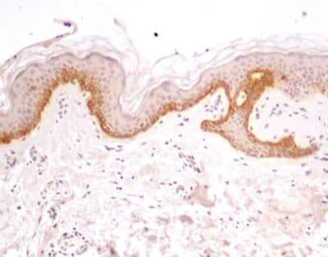
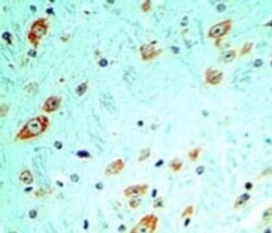
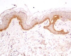
TLR5 Monoclonal Antibody for Western Blot, IHC (P), IHC (F), Flow, IP

TLR5 is a Type I membrane protein belonging to the Toll-like receptor family, participates in the innate immune response to microbial agents. TLR5 also plays a role in mediating detection of bacterial flagellins. TLR5 acts via MyD88 and TRAF6, leading to NF-kappa-B activation, cytokine secretion and the inflammatory response. TLR5 protein binds to TIRAP and MyD88 via their respective TIR domains TLR5 is highly expressed in liver, and is detected in lung and at very low levels in most other tissues. The TLR5 gene lies in a locus that is associated with susceptibility to Salmonella. Inbred strains of mice can be classified into 3 categories according to their resistance to infection with S.typhimurium: susceptible (BALB/c, C57BL/6, C3H/He), intermediate (DBA/2, C75L) and resistant (A, CBA). The strain MOLF/Ei is highly susceptible to the infection, has a unique TLR5 haplotype and a lower expression of TRL5. A common TLR5 stop codon polymorphism that disrupts TLR5 signaling is associated with susceptibility to Legionnaires' disease and demonstrates the importance of TLR5 in the innate immune response.
TRUSTED_SUSTAINABILITY

Specifications

Antigen TLR5
Applications Flow Cytometry, Immunohistochemistry (Frozen), Immunohistochemistry (Paraffin), Immunoprecipitation, Western Blot
Classification Monoclonal
Clone 19D759.2
Concentration 1.0 mg/mL
Conjugate Unconjugated
Formulation PBS with 0.05% sodium azide
Gene TLR5
Gene Accession No. O60602, Q9JLF7
Gene Alias FLJ10052; MELIOS; MGC126430; MGC126431; RP11-239E10.1; SLE1; SLEB1; systemic lupus erythematosus susceptibility 1; TIL3; Tlr5; toll like receptor 5; Toll/interleukin-1 receptor-like protein 3; toll-like receptor 5
Gene Symbols TLR5
Host Species Mouse
Immunogen KLH-conjugated synthetic peptide corresponding to a portion of human TLR5 between amino acids 700-800.
Purification Method Protein G
Quantity 100 μg
Regulatory Status RUO
Primary or Secondary Primary
Gene ID (Entrez) 488605, 53791, 7100
Target Species Human, Mouse, Canine
Content And Storage -20°C, Avoid Freeze/Thaw Cycles
Product Type Antibody
Form Liquid
Isotype IgG2a κ
Show More Show Less
Product Title
Select an issue

By clicking Submit, you acknowledge that you may be contacted by Fisher Scientific in regards to the feedback you have provided in this form. We will not share your information for any other purposes. All contact information provided shall also be maintained in accordance with our Privacy Policy.