missing translation for 'onlineSavingsMsg'
Learn More
Learn More
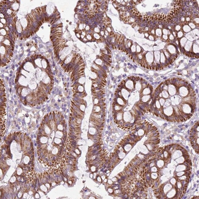
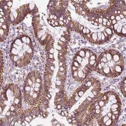
Description
Immunogen sequence: IALAKSKSVH QDYLPDRDAH WPVSYATTHS KASPRIQELA NPNKRAPVRI VYYDPDVFKT KPAALKAQCS QRIWELSQ Highest antigen sequence identity to the following orthologs: Mouse - 68%, Rat - 68%.
Specifications
Specifications
| Antigen | THEGL |
| Applications | Immunohistochemistry (Paraffin) |
| Classification | Polyclonal |
| Concentration | 0.2 mg/mL |
| Conjugate | Unconjugated |
| Formulation | PBS with 40% glycerol and 0.02% sodium azide; pH 7.2 |
| Gene | THEGL |
| Gene Accession No. | P0DJG4 |
| Gene Alias | testicular haploid expressed gene protein-like; theg spermatid protein-like; theg spermatid-like protein; THEGL |
| Gene Symbols | THEGL |
| Show More |
Product Title
By clicking Submit, you acknowledge that you may be contacted by Fisher Scientific in regards to the feedback you have provided in this form. We will not share your information for any other purposes. All contact information provided shall also be maintained in accordance with our Privacy Policy.
Spot an opportunity for improvement?
