missing translation for 'onlineSavingsMsg'
Learn More
Learn More
Description
Immunogen sequence: KFTCHYRCRA LVCLDCCGPR DLGWEPAVER DTNVDEPVEW ETPDLSQAEI EQKIKEYNAQ INSNLFMSLN KDG Highest antigen sequence identity to the following orthologs: Mouse - 89%, Rat - 90%.
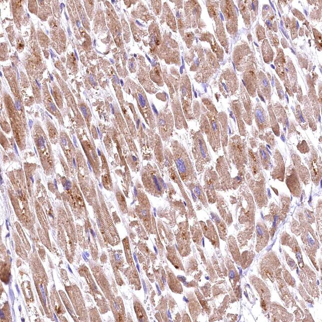
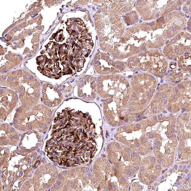
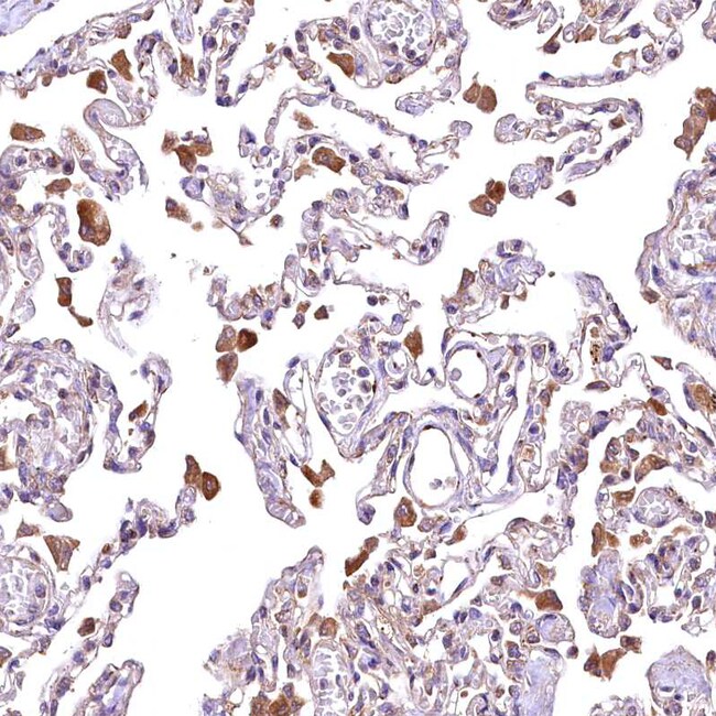
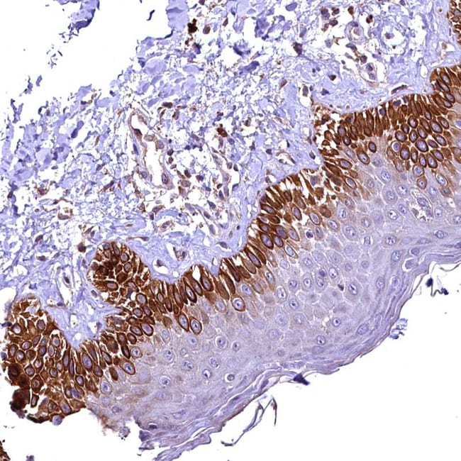
This gene encodes a protein similar to the RAS effector proteins. Loss or altered expression of this gene has been associated with the pathogenesis of a variety of cancers, which suggests the tumor suppressor function of this gene. The inactivation of this gene was found to be correlated with the hypermethylation of its CpG-island promoter region. The encoded protein was found to interact with DNA repair protein XPA. The protein was also shown to inhibit the accumulation of cyclin D1, and thus induce cell cycle arrest. Seven alternatively spliced transcript variants of this gene encoding distinct isoforms have been reported.
Specifications
Specifications
| Antigen | RASSF1 |
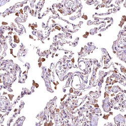
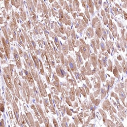
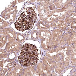
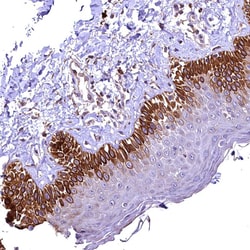
| Applications | Immunohistochemistry (Paraffin) |
| Classification | Polyclonal |
| Concentration | 0.3 mg/mL |
| Conjugate | Unconjugated |
| Formulation | PBS with 40% glycerol and 0.02% sodium azide; pH 7.2 |
| Gene | RASSF1 |
| Gene Accession No. | Q9NS23 |
| Gene Alias | 123F protein; 123F2; AA536941; AU044980; cardiac-specific ras association domain family 1 protein; NORE2A; pancreas-specific ras association domain family 1 protein; protein 123F2; Ras association (RalGDS/AF-6) domain family 1; Ras association (RalGDS/AF-6) domain family member 1; Ras association domain family 1; Ras association domain family member 1; ras association domain-containing protein 1; Rassf1; Rassf1A; RASSF1A tumor suppressor; Rassf1B; Rassf1C; RDA32; REH3P21; tumor suppressor protein RDA32; wu:fc17f02; WUGSC:H_LUCA12.5; zgc:112224; zgc:92505; zgc:92505 protein |
| Gene Symbols | RASSF1 |
| Show More |
Product Title
By clicking Submit, you acknowledge that you may be contacted by Fisher Scientific in regards to the feedback you have provided in this form. We will not share your information for any other purposes. All contact information provided shall also be maintained in accordance with our Privacy Policy.
Spot an opportunity for improvement?
