missing translation for 'onlineSavingsMsg'
Learn More
Learn More
Invitrogen™ PRP19 Recombinant Rabbit Monoclonal Antibody (4M3Z1)
Shop All Thermo Scientific Products

Description
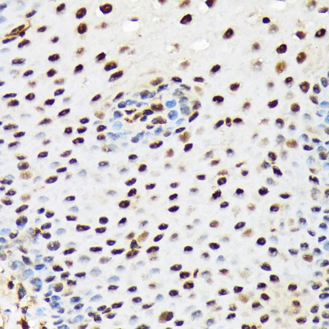
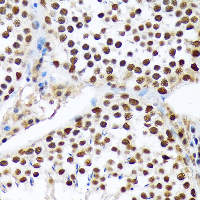
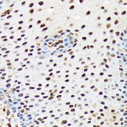
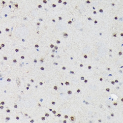
Positive Samples: HeLa, SKOV3, Mouse thymus, Rat spleen Immunogen sequence: FSENGYYLAT AADDSSVKLW DLRKLKNFKT LQLDNNFEVK SLIFDQSGTY LALGGTDVQI YICKQWTEIL HFTEHSGLTT GVAFGHHAKF IASTGMDRSL KFYSL.
PSO4 is the human homolog of yeast Pso4, a gene essential for cell survival and DNA repair.
Specifications
Specifications
| Antigen | PRP19 |
| Applications | ELISA, Immunohistochemistry (Paraffin), Western Blot, Immunocytochemistry |
| Classification | Recombinant Monoclonal |
| Clone | 4M3Z1 |
| Concentration | 0.8 mg/mL |
| Conjugate | Unconjugated |
| Formulation | PBS with 0.05% BSA, 50% glycerol and 0.02% sodium azide; pH 7.3 |
| Gene | Prpf19 |
| Gene Accession No. | Q99KP6, Q9JMJ4, Q9UMS4 |
| Gene Alias | AA617263; AL024362; D19Wsu55e; hPSO4; Neuronal differentiation-related gene protein; NMP200; Nuclear matrix protein 200; nuclear matrix protein NMP200 related to splicing factor PRP19; nuclear matrix protein SNEV; pre-mRNA processing factor 19; pre-mRNA-processing factor 19; PRP19; prp19 beta; PRP19/PSO4 homolog; PRP19/PSO4 pre-mRNA processing factor 19 homolog; PRP19/PSO4 pre-mRNA processing factor 19 homolog (S. cerevisiae); PRPF19; PSO4; psoralen 4; RING-type E3 ubiquitin transferase PRP19; Senescence evasion factor; SNEV; UBOX4 |
| Show More |
Product Title
By clicking Submit, you acknowledge that you may be contacted by Fisher Scientific in regards to the feedback you have provided in this form. We will not share your information for any other purposes. All contact information provided shall also be maintained in accordance with our Privacy Policy.
Spot an opportunity for improvement?