missing translation for 'onlineSavingsMsg'
Learn More
Learn More
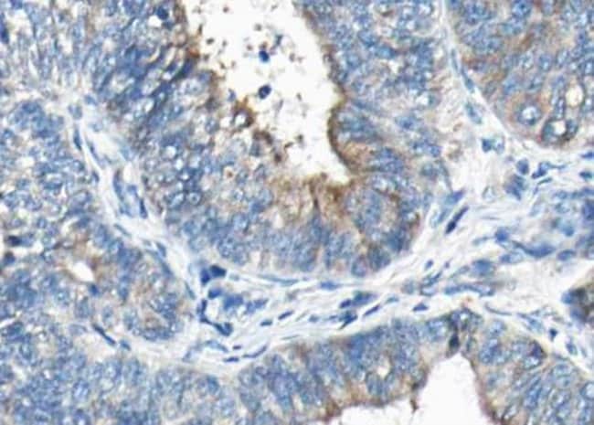
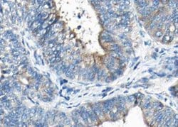
Invitrogen™ Phospho-Synaptotagmin 1/2 (Ser309) Polyclonal Antibody

Description
Antibody detects endogenous levels of Synaptotagmin 1/2 only when phosphorylated at Serine 309.
Synaptotagmins are a large gene family of synaptic vesicle type III integral membrane proteins that function as regulators of both exocytosis and endocytosis and are involved in neurotransmitter secretion from small secretory vesicles. Calcium binds to Synaptotagmin I which triggers neurotransmitter release at the synapse. Synaptotagmin II is phosphorylated by WNK1 in a process that regulates calcium-dependent interactions. Synaptotagmin III is involved in calcium-dependent exocytosis of secretory vesicles in endocrine cells and neurons. Synaptotagmin IV is expressed in neuronal tissues, and has the highest mRNA levels in the hippocampus.
Specifications
Specifications
| Antigen | Phospho-Synaptotagmin 1/2 (Ser309) |
| Applications | Immunohistochemistry (Paraffin), Western Blot, Immunocytochemistry |
| Classification | Polyclonal |
| Concentration | 1 mg/mL |
| Conjugate | Unconjugated |
| Formulation | PBS with 50% glycerol and 0.02% sodium azide; pH 7.4 |
| Gene | SYT1 |
| Gene Accession No. | P21579, P21707, P29101, P46096, P46097, Q8N9I0 |
| Gene Alias | AW124717; CMS7; FLJ42519; G630098F17Rik; Inositol polyphosphate-binding protein; IP4-binding protein; mKIAA4194; MYSPC; p65; R74640; RATSYNII; SVP65; synaptotagmin 1; synaptotagmin 2; synaptotagmin I; Synaptotagmin II; synaptotagmin-1; Synaptotagmin-2; SYNII; SYT; SYT1; SYT2; SytI; sytII |
| Gene Symbols | SYT1, SYT2 |
| Show More |
Product Title
By clicking Submit, you acknowledge that you may be contacted by Fisher Scientific in regards to the feedback you have provided in this form. We will not share your information for any other purposes. All contact information provided shall also be maintained in accordance with our Privacy Policy.
Spot an opportunity for improvement?