missing translation for 'onlineSavingsMsg'
Learn More
Learn More
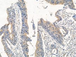
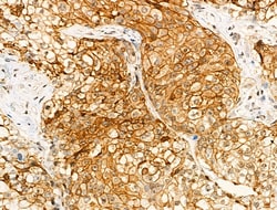
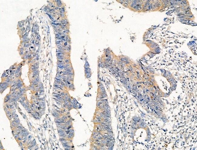
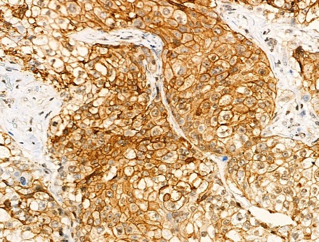
Invitrogen™ Phospho-LC3B (Thr29) Polyclonal Antibody

Description
Antibody detects endogenous levels of LC3B only when phosphorylated at Thr29.
LC3B (Autophagy Marker Light Chain 3B, MAP1A/MAP1B LC3 B) in humans, is encoded by the gene MAP1LC3B (Microtubule-associated proteins 1A/1B light chain 3B). LC3B is associated with microtubule assembly and important is in neurogenesis. Recent studies indicate that LC3B plays a vital role in autophagy, a process that involves the bulk degradation of cytoplasmic component. Three human LC3 isoforms undergo post-translational modifications during autophagy. Macroautophagy is the major inducible pathway for the general turnover of cytoplasmic constituents in eukaryotic cells, it is also responsible for the degradation of active cytoplasmic enzymes and organelles during nutrient starvation. Macroautophagy involves the formation of double-membrane bound autophagosomes which enclose the cytoplasmic constituent targeted for degradation in a membrane bound structure, which then fuse with the lysosome (or vacuole) releasing a single-membrane bound autophagic bodies which are then degraded within the lysosome (or vacuole). LC3B is a microtubule-associated protein that mediate the physical interactions between microtubules and components of the cytoskeleton. LC3B may play a role in processes involving cancer, aging, metabolic and neurodegenerative disorders and cardiovascular/pulmonary diseases.
Specifications
Specifications
| Antigen | Phospho-LC3B (Thr29) |
| Applications | Immunohistochemistry (Paraffin), Western Blot |
| Classification | Polyclonal |
| Concentration | 1 mg/mL |
| Conjugate | Unconjugated |
| Formulation | PBS with 50% glycerol and 0.02% sodium azide; pH 7.4 |
| Gene | MAP1LC3B2 |
| Gene Accession No. | A6NCE7, Q62625, Q9CQV6, Q9GZQ8 |
| Gene Alias | 1010001C15Rik; Atg8; ATG8E; ATG8F; ATG8G; Autophagy-related protein LC3 B; autophagy-related ubiquitin-like modifier LC3 B; LC3; LC3 beta; LC3A; LC3B; light chain 3; MAP1 light chain 3-like protein 2; MAP1A/1B light chain 3 B; MAP1A/1BLC3; MAP1A/MAP1B LC3 A; MAP1A/MAP1B LC3 B; MAP1A/MAP1B light chain 3 B; Map1alc3; MAP1BLC3; MAP1LC3; MAP1LC3A; MAP1LC3B; MAP1LC3B2; MAP1LC3B-a; microtubule associated protein 1 light chain 3 beta; microtubule associated protein 1 light chain 3 beta 2; microtubule-associated protein 1 light chain 3; microtubule-associated protein 1 light chain 3 beta; microtubule-associated protein 1 light chain 3 beta 2; microtubule-associated proteins 1A/1B light chain 3; microtubule-associated proteins 1A/1B light chain 3 beta 2; Microtubule-associated proteins 1A/1B light chain 3B; Microtubule-associated proteins 1A/1B light chain 3B-like; Microtubule-associated proteins 1A/1B light chain 3B-like protein; Mpl3; RP11-346K17.1; wu:fb60g11; zbs559; zgc:56434 |
| Gene Symbols | MAP1LC3B, MAP1LC3B2 |
| Show More |
Product Title
By clicking Submit, you acknowledge that you may be contacted by Fisher Scientific in regards to the feedback you have provided in this form. We will not share your information for any other purposes. All contact information provided shall also be maintained in accordance with our Privacy Policy.
Spot an opportunity for improvement?