missing translation for 'onlineSavingsMsg'
Learn More

Invitrogen™ Phospho-EGFR (Tyr992) Polyclonal Antibody

Product Code. 10612194
Change view
Click to view available options
Quantity:
100 μL
Unit Size:
Each
1 product options available for selection
Product selection table with 1 available options. Use arrow keys to navigate and Enter or Space to select.
Product Code. Quantity unitSize
10612194 100 μL Each
Use arrow keys to navigate between rows. Press Enter or Space to select a product option. 1 options available.
1 options
This item is not returnable. View return policy
Product Code. 10612194 Supplier Invitrogen™ Supplier No. 44786G

Please to purchase this item. Need a web account? Register with us today!

This item is not returnable. View return policy

Rabbit Polyclonal Antibody

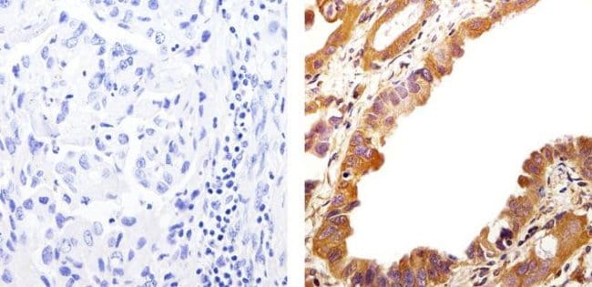
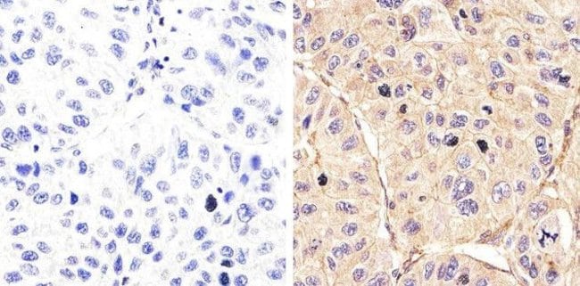
Phospho-EGFR (Tyr992) Polyclonal Antibody for Western Blot, ICC/IF, IHC (P)

EGFR, epidermal growth factor receptor, is a receptor tyrosine kinases that signals in response to various growth factors. Overexpression has been linked to numerous types of cancer and EGFR is the target of both biological and small molecular therapeutics. EGFR is encoded by the EGFR gene located on chromosome 7 in humans. EGFR belongs to the HER/ERbB family of proteins that includes three other receptor tyrosine kinases, ERbB2, ERbB3, ERbB4. EGFR is a transmembrane receptor and binding of its cognate ligands such as EGF (Epidermal Growth Factor) and TGF alpha (Transforming Growth Factor alpha) to the extracellular domain leads to EGFR dimerization followed by autophosphorylation of the tyrosine residues in the cytoplasmic domain. Overexpression is observed in tumors of the head and neck, brain, bladder, stomach, breast, lung, endometrium, cervix, vulva, ovary, esophagus, stomach and in squamous cell carcinoma.
TRUSTED_SUSTAINABILITY

Specifications

Antigen Phospho-EGFR (Tyr992)
Applications Immunohistochemistry (Paraffin), Western Blot, Immunocytochemistry
Classification Polyclonal
Conjugate Unconjugated
Formulation Dulbecco's PBS with 1mg/mL BSA and 0.05% sodium azide; pH 7.3
Gene EGFR
Gene Accession No. P00533
Gene Alias 2.7.10.1; 9030024J15Rik; AI552599; avian erythroblastic leukemia viral (v-erbB) oncogene homolog; avian erythroblastic leukemia viral (v-erb-b) oncogene homolog; cell growth inhibiting protein 40; cell proliferation-inducing protein 61; EC 2.7.10.1; egf receptor; Egfr; EGFR-related peptide; epidermal growth factor receptor; epidermal growth factor receptor (erythroblastic leukemia viral (v-erb-b) oncogene homolog, avian); Epidermal growth factor receptor formerly avian erythroblastic leukemia viral (v-erbB) oncogene homolog (Erbb1); epidermal growth factor receptor, formerly avian erythroblastic leukemia viral (v-erbB) oncogene homolog (Erbb1); ERBB; ERBB1; ErbB-1; erb-b2 receptor tyrosine kinase 1; Errb1; Errp; HER1; kinase EGFR; mENA; NISBD2; Oncogene ERBB; PIG61; Proto-oncogene c-ErbB-1; receptor tyrosine-protein kinase erbB-1; Urogastrone; wa2; wa-2; Wa5; waved 2
Gene Symbols EGFR
Host Species Rabbit
Immunogen The antiserum was produced against a chemically synthesized phosphopeptide derived from the region of human EGFR that contains tyrosine 992. The sequence is conserved in mouse and rat.
Purification Method Antigen affinity chromatography
Quantity 100 μL
Regulatory Status RUO
Primary or Secondary Primary
Gene ID (Entrez) 1956
Target Species Human
Content And Storage -20°C
Product Type Antibody
Form Liquid
Isotype IgG
Show More Show Less
Product Title
Select an issue

By clicking Submit, you acknowledge that you may be contacted by Fisher Scientific in regards to the feedback you have provided in this form. We will not share your information for any other purposes. All contact information provided shall also be maintained in accordance with our Privacy Policy.