missing translation for 'onlineSavingsMsg'
Learn More

NR3C1 Monoclonal Antibody (OTI6B5), TrueMAB™, OriGene

Product Code. 17576383
Encompass_Preferred
Change view
Click to view available options
Quantity:
30 μL
100 μL
Unit Size:
100µL
30µL
2 product options available for selection
Product selection table with 2 available options. Use arrow keys to navigate and Enter or Space to select.
Product Code. Quantity unitSize
17576383 30 μL 30µL
17556383 100 μL 100µL
Use arrow keys to navigate between rows. Press Enter or Space to select a product option. 2 options available.
2 options
This item is not returnable. View return policy
Product Code. 17576383 Supplier Origene Technologies Supplier No. TA806259S

Please to purchase this item. Need a web account? Register with us today!

This item is not returnable. View return policy

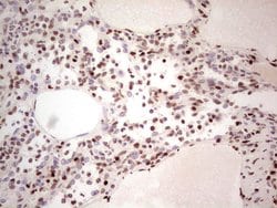
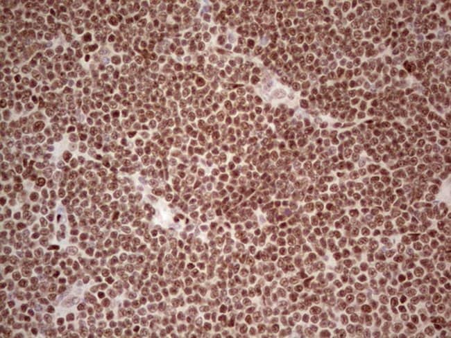
Mouse Monoclonal Antibody

NR3C1 Monoclonal antibody specifically detects NR3C1 in Human samples. It is validated for Immunohistochemistry (Paraffin), Western Blot

Specifications

Antigen NR3C1
Applications Immunohistochemistry (Paraffin), Western Blot
Classification Monoclonal
Clone OTI6B5
Concentration 1 mg/mL
Conjugate Unconjugated
Formulation PBS with 1% BSA, 50% glycerol and 0.02% sodium azide
Gene Gli4
Gene Accession No. P10075
Gene Alias cytosolic/nuclear receptor; fb13f09; GCCR; Gcr; GCRST; glucocorticoid nuclear receptor variant 1; glucocorticoid receptor; glucocorticoid receptor 1; glucocorticoid receptor alpha; GR; gr alpha; GR Kit; Grl; Grl1; Grl-1; Nr3c1; Nuclear receptor subfamily 3 group C member 1; nuclear receptor subfamily 3, group C, member 1; nuclear receptor subfamily 3, group C, member 1 (glucocorticoid receptor); OTTHUMP00000222854; OTTHUMP00000222858; utouto; utut; wu:fb13f09; zgc:113038
Host Species Mouse
Immunogen Full length human recombinant protein of human GLI4 produced in E.coli.
Purification Method Affinity chromatography
Quantity 30 μL
Regulatory Status RUO
Primary or Secondary Primary
Gene ID (Entrez) 2738
Target Species Human
Content And Storage -20° C, Avoid Freeze/Thaw Cycles
Form Liquid
Isotype IgG1
Show More Show Less
Product Title
Select an issue

By clicking Submit, you acknowledge that you may be contacted by Fisher Scientific in regards to the feedback you have provided in this form. We will not share your information for any other purposes. All contact information provided shall also be maintained in accordance with our Privacy Policy.