missing translation for 'onlineSavingsMsg'
Learn More

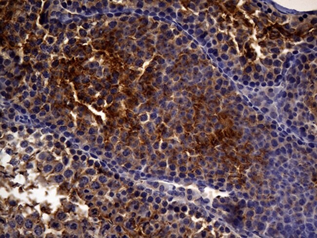
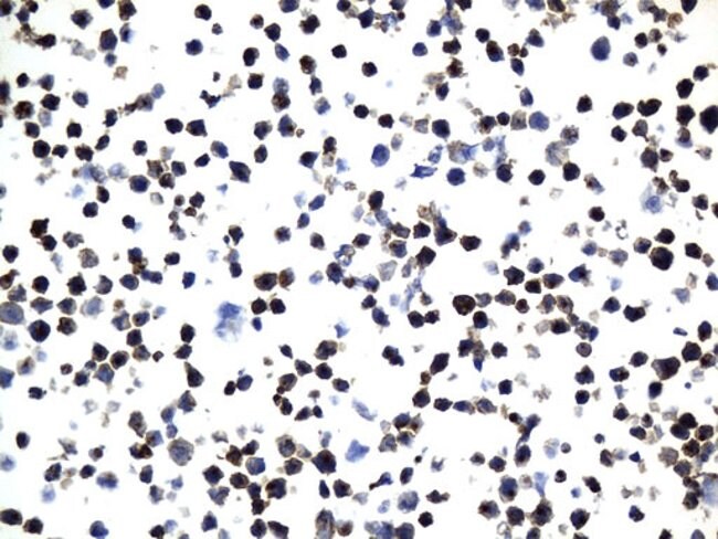
MME Mouse anti-Human, Clone: UMAB235, liquid, UltraMAB™

Mouse Monoclonal Antibody

Brand:  Origene Technologies UM800127

Encompass_Preferred

Product Code. 17599974

  • 738.10 EUR / 100µL

Please to purchase this item. Need a web account? Register with us today!

This item is not returnable. View return policy

Description

Description

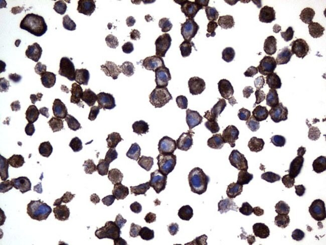
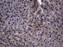
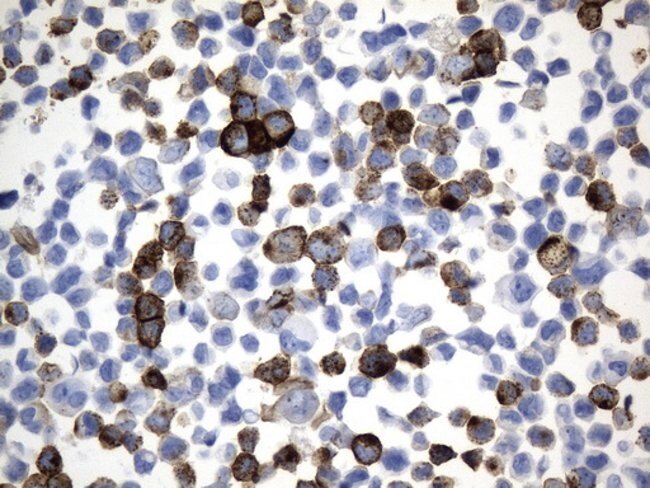
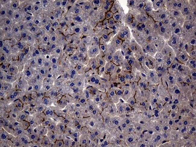
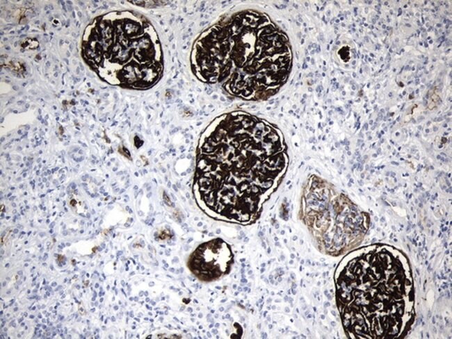
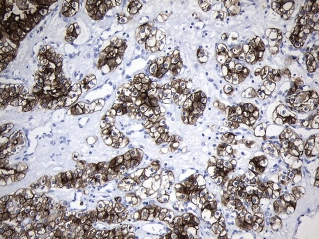
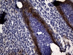
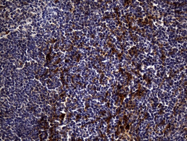
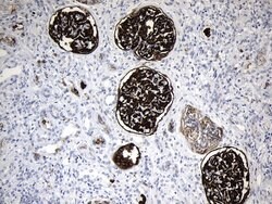
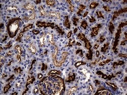
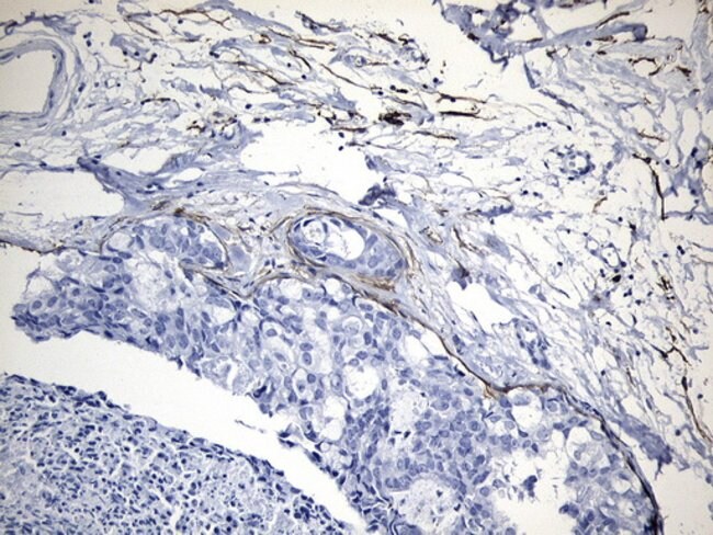
CD10 (Common Acute Lymphocytic Leukemia Antigen ,CALLA), is a cell surface enzyme with neutral metalloendopeptidase activity which inactivates a variety of biologically active peptides. CD10 is expressed on the cells of lymphoblastic, Burkitt′s, and follicular germinal center lymphomas, immature B cells with in adult bone marrow and on cells from patients with chronic myelocytic leukemia (CML). CD10 is also present on breast myoepithelial cells, bile canaliculi, fibroblasts, with especially high expression on the brush border of kidney and gut epithelial cells. CD10 is a neutral endopeptidase that cleaves peptides at the amino side of hydrophobic residues and inactivates several peptide hormones including glucagon, enkephalins, substance P, neurotensin, oxytocin, and bradykinin. Further, CD10 is a 100 kDa type II transmembrane glycoprotein that exists in a single copy of greater than 45 kb. The 5′ untranslated region of the CD10 gene is alternatively spliced, resulting in four separate mRNA transcripts and the coding region is not affected by alternative splicing. Diseases associated with CD10 dysfunction include spinocerebellar ataxia 43 and Charcot-Marie tooth Disease.
Specifications

Specifications

MME
Monoclonal
Unconjugated
MME
CALLA, CD10, CMT2T, NEP, SCA43, SFE
Mouse
Affinity Chromatography
RUO
4311
-20° C, Avoid Freeze/Thaw Cycles
Liquid
Immunohistochemistry (Paraffin), Western Blot
UMAB235
PBS with 1% BSA, 50% glycerol and 0.02% sodium azide
P08473
MME
Human recombit protein fragment corresponding to amino acids 411-750 of human MME (CD10) produced in E.coli.
100 μL
Primary
Human
Antibody
IgG1
Product Suggestions

Product Suggestions

Videos
SDS
Documents

Documents

Certificates
Promotions

Promotions

Product Content Correction

The Fisher Scientific Encompass Program offers items which are not part of our distribution portfolio. These products typically do not have pictures or detailed descriptions. However, we are committed to improving your shopping experience. Please use the form below to provide feedback related to the content on this product.

Product Title

By clicking Submit, you acknowledge that you may be contacted by Fisher Scientific in regards to the feedback you have provided in this form. We will not share your information for any other purposes. All contact information provided shall also be maintained in accordance with our Privacy Policy.

Thank You! Your feedback has been submitted. Fisher Scientific is always working to improve our content for you. We appreciate your feedback.