missing translation for 'onlineSavingsMsg'
Learn More
Learn More
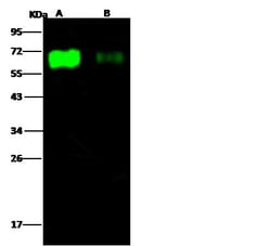
Invitrogen™ Influenza A H3N2 HA1 (A/Aichi/2/1968) Polyclonal Antibody

Rabbit Polyclonal Antibody
Marca: Invitrogen™ PA581698
Este artículo no se puede devolver.
Vea la política de devoluciones
Descripción
This product is preservative free. It is recommended to add sodium azide to avoid contamination (final concentration 0.05%-0.1%). This antibody has specificity for Influenza A H3N2 (A/Aichi/2/1968) Hemagglutinin/HA1.
Especificaciones
| Influenza A H3N2 HA1 (A/Aichi/2/1968) | |
| Polyclonal | |
| Unconjugated | |
| flu hemagglutinin; influenza hemagglutinin | |
| Recombinant Influenza A H3N2 (A/Aichi/2/1968) Hemagglutinin/HA1 Protein. | |
| 100 μL | |
| Primary | |
| Store at 4°C short term. For long term storage, store at -20°C, avoiding freeze/thaw cycles. | |
| Liquid |
| Western Blot | |
| 1 mg/mL | |
| PBS with no preservative | |
| Rabbit | |
| Protein A, Antigen affinity chromatography | |
| RUO | |
| Virus | |
| Antibody | |
| IgG |
Corrección del contenido de un producto
Proporcione sus comentarios sobre el contenido del producto rellenando el siguiente formulario.
Título del producto
¿Detecta una oportunidad de mejora?Comparta una corrección de contenido