missing translation for 'onlineSavingsMsg'
Learn More
Learn More
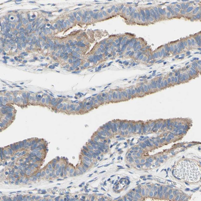
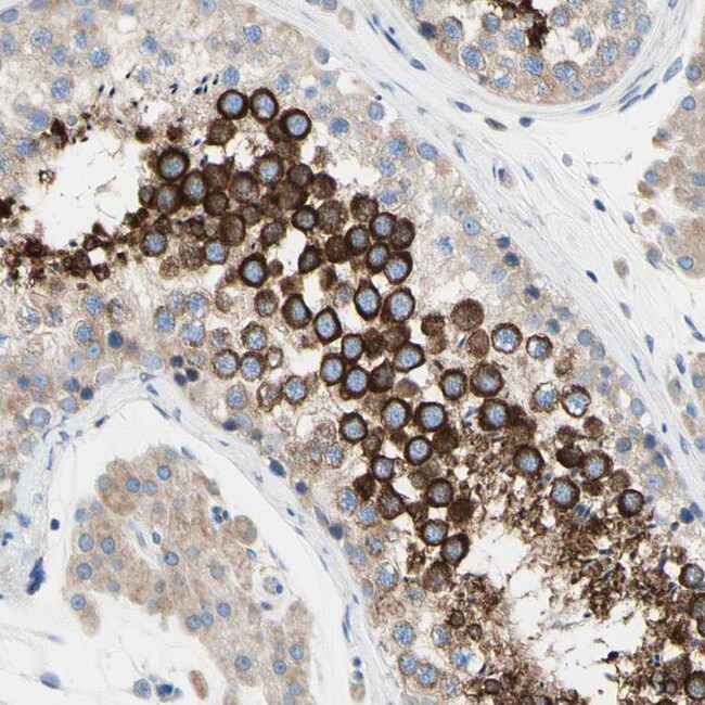
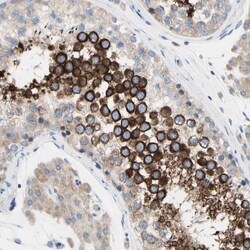
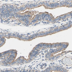
Invitrogen™ FAM134A Polyclonal Antibody

Description
Immunogen sequence: SGGFSVSRAT TPQLTDVSED LDQQSLPSEP EETLSRDLGE GEEGELAPPE DLLGRPQALS RQALDSEEEE EDVAAKETLL RLSSPLHFVN THFNGAGSPP DGVKCSPGGP VETLSPETVS GGLTALPGTL SPPLCLVGSD PA Highest antigen sequence identity to the following orthologs: Mouse - 77%, Rat - 80%.
FAM134A is a protein coding gene. Gene Ontology (GO) annotations related to this gene include integral component of membrane.
Specifications
Specifications
| Antigen | FAM134A |
| Applications | Immunohistochemistry (Paraffin) |
| Classification | Polyclonal |
| Concentration | 0.2 mg/mL |
| Conjugate | Unconjugated |
| Formulation | PBS with 40% glycerol and 0.02% sodium azide; pH 7.2 |
| Gene | RETREG2 |
| Gene Accession No. | Q8NC44 |
| Gene Alias | C2H2orf17; C2orf17; Fam134a; family with sequence similarity 134 member A; family with sequence similarity 134, member A; MAG2; MAG-2; metastasis associated gene-2; protein FAM134A; reticulophagy regulator 2; reticulophagy regulator 2; protein FAM134A; reticulophagy regulator family member 2; Retreg2; RGD1306844; zgc:158472 |
| Gene Symbols | RETREG2 |
| Show More |
Product Title
By clicking Submit, you acknowledge that you may be contacted by Fisher Scientific in regards to the feedback you have provided in this form. We will not share your information for any other purposes. All contact information provided shall also be maintained in accordance with our Privacy Policy.
Spot an opportunity for improvement?