missing translation for 'onlineSavingsMsg'
Learn More
Learn More
Invitrogen™ Phospho-SRC (Tyr529) Polyclonal Antibody

Description
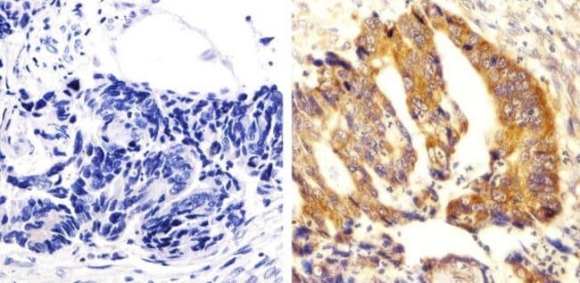
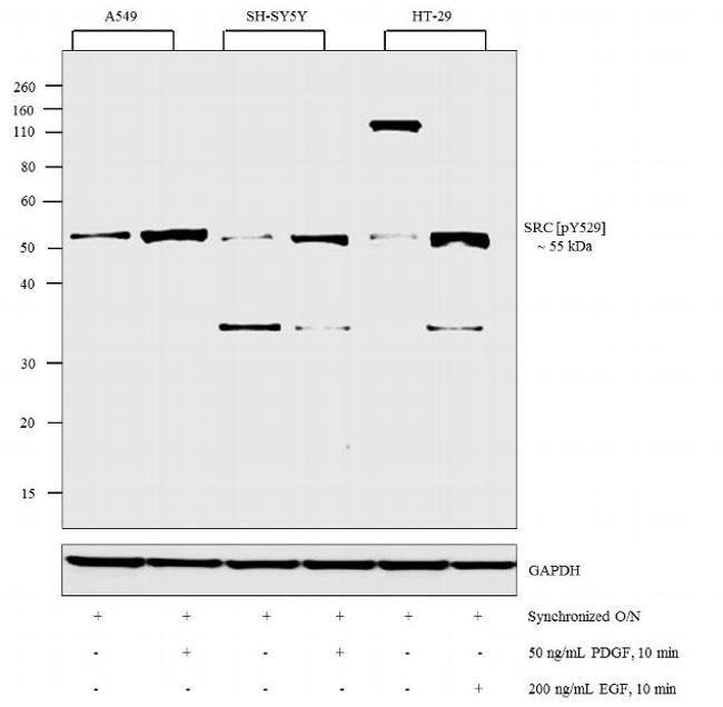
Phospho-SRC (Tyr529) Polyclonal Antibody for Western Blot, ICC/IF, IHC (P)
SRC is a cytoplasmic tyrosine kinase and proto-oncogene involved in the regulation of embryonic development and cell growth. SRC is involved in the regulation of growth and differentiation of eukaryotic cells. SRC associates with the cytoplasmic region of various cell surface receptors to facilitate signal transduction, and is also involved in cytoskeletal organization, cell cycle regulation, and apoptosis. In humans, the gene encoding SRC is present on chromosome 20. Activity of SRC is regulated by two tyrosine residues (Tyr 416 and Tyr527), and phosphorylation of these two sites have opposing effects. Phosphorylation of Tyr416 in the activation loop of the kinase domain upregulates enzyme activity while the phosphorylation of Tyr527 decreases enzyme activity. Mutations in the SRC gene could be involved in the malignant progression of colon cancer. Two transcript variants encoding the same SRC protein have been found thus far.
Specifications
Specifications
| Antigen | Phospho-SRC (Tyr529) |
| Applications | Immunohistochemistry (Paraffin), Western Blot, Immunocytochemistry |
| Classification | Polyclonal |
| Conjugate | Unconjugated |
| Formulation | Dulbecco's PBS with 1mg/mL BSA and 0.05% sodium azide; pH 7.3 |
| Gene | SRC |
| Gene Accession No. | P00523, P05480, P12931, Q9WUD9 |
| Gene Alias | ASV; AW259666; csrc; c-SRC; c-src protein, C terminus; EC 2.7.10.2; fc54g04; Neuronal proto-oncogene tyrosine-protein kinase Src; non-tyrosine protein kinase; ORF; OTTHUMP00000174476; OTTHUMP00000174477; OTTHUMP00000174478; p60-Src; p60-Src-1; PP60C-SCR; pp60c-src; pp60src; pp60v-src; protein-tyrosine kinase; proto-oncogene c-Src; protooncogene SRC, Rous sarcoma; Proto-oncogene tyrosine-protein kinase Src; Rous sarcoma oncogene; RP5-823N20.1; sb:cb864; SDR; src; src downstream region; src oncogene; SRC proto-oncogene, non-receptor tyrosine kinase; SRC proto-oncogene, non-receptor tyrosine kinase L homeolog; SRC proto-oncogene, non-receptor tyrosine kinase S homeolog; src.L; src.S; SRC1; src-1; src1-A; src-a; src-b; THC6; transforming protein; tyrosine kinase pp60c-src; tyrosine protein kinase c-src; tyrosine protein kinase pp60-c-src; tyrosine-protein kinase SRC-1; Unknown; v-src avian sarcoma (Schmidt-Ruppin A-2) viral oncogene homolog; v-src sarcoma (Schmidt-Ruppin A-2) viral oncogene homolog; v-src sarcoma viral oncogene; wu:fc54g04; XELAEV_18046582mg; xsrc |
| Gene Symbols | SRC |
| Host Species | Rabbit |
| Show More |
Título del producto
Al hacer clic en Enviar, acepta que Fisher Scientific se ponga en contacto con usted en relación con los comentarios que ha proporcionado en este formulario. No compartiremos su información para ningún otro fin. Toda la información de contacto proporcionada se mantendrá de acuerdo con nuestra Política de Privacidad. Política de privacidad.
¿Detecta una oportunidad de mejora?