missing translation for 'onlineSavingsMsg'
Learn More
Learn More
Invitrogen™ Phospho-c-Cbl (Tyr774) Polyclonal Antibody

Rabbit Polyclonal Antibody
Brand: Invitrogen™ PA536734
This item is not returnable.
View return policy
Description
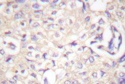
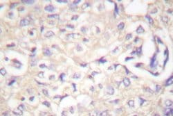
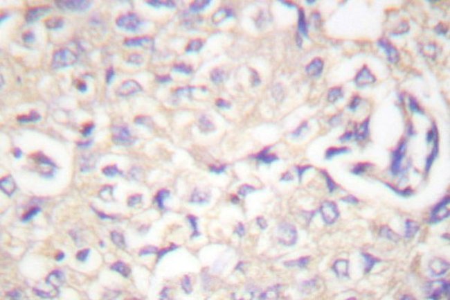
This antibody detects endogenous protein at a molecular weight of 100 and 120 kDa. Purity is >95% by SDS-PAGE.
Cbl proteins are a family of ubiquitin protein ligases (E3s) that negatively regulate signaling by targeting activated tyrosine kinases for degradation. Cbl- c is the most recently cloned member of the Cbl proteins and is expressed only in epithelial cells (the other Cbl proteins are ubiquitously expressed). Cbl-c, like the other mammalian Cbl proteins, can ubiquitinate the activated EGFR and target it for degradation. Through interactions with proteins containing SRC homology-2 (SH2) and SH3 domains, CBL proteins modulate downstream cell signaling.
Specifications
| Phospho-c-Cbl (Tyr774) | |
| Polyclonal | |
| Unconjugated | |
| Cbl | |
| 4732447J05Rik; Cas-Br-M (murine) ecotropic retroviral transforming sequence; Casitas B-lineage lymphoma; casitas B-lineage lymphoma proto-oncogene; CBL; Cbl proto-oncogene; Cbl proto-oncogene, E3 ubiquitin protein ligase; CBL2; Cbl-2; CBL-3; CBLC; c-Cbl; E3 ubiquitin-protein ligase CBL; FRA11B; fragile site, folic acid type, rare, fra(11)(q23.3); NSLL; oncogene CBL2; proto-oncogene c-Cbl; RGD1561386; RING finger protein 55; RING-type E3 ubiquitin transferase CBL; RNF55; RNF57; signal transduction protein CBL | |
| Rabbit | |
| Antigen affinity chromatography | |
| RUO | |
| 12402, 500985, 867 | |
| Store at 4°C short term. For long term storage, store at -20°C, avoiding freeze/thaw cycles. | |
| Liquid |
| Immunohistochemistry (Paraffin), Western Blot, Immunocytochemistry | |
| 1 mg/mL | |
| PBS with 50% glycerol and 0.1% sodium azide | |
| P22681, P22682 | |
| Cbl | |
| Synthetic phosphopeptide derived from human Cbl around the phosphorylation site of Tyrosine 774. | |
| 100 μL | |
| Primary | |
| Human, Mouse, Rat | |
| Antibody | |
| IgG |
Product Content Correction
Your input is important to us. Please complete this form to provide feedback related to the content on this product.
Product Title
Spot an opportunity for improvement?Share a Content Correction