Learn More
Invitrogen™ Cytokeratin Pan Antibody Cocktail

Antibody Cocktail
Brand: Invitrogen™ MA513203
Description
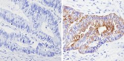
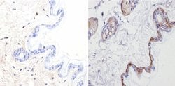
This antibody is a broad-spectrum pan-keratin monoclonal antibody cocktail which recognizes keratin 4, 5, 6, 7, 8, 10, 13, 14, 18 and 19. This product can differentiate between epithelial and non-epithelial tumors. For staining of formalin-fixed tissue,digest sections wtih trypsin at 1 mg/mL in PBS, 10 min at 37°C, or Protease XXV at 1 mg/mL in PBS for 5 min at 37°C.
Cytokeratin pan is part of a subfamily of intermediate filament proteins that are characterized by remarkable biochemical diversity, and represented in human epithelial tissues by at least 20 different polypeptides. Cytokeratins range in molecular weight between 40 kDa- 68 kDa, and an isoelectric pH between 4.9-7.8. The individual human cytokeratins are numbered 1 to 20. The various epithelia in the human body usually express cytokeratins which are not only characteristic of the type of epithelium, but also related to the degree of maturation or differentiation within an epithelium. Cytokeratin subtype expression patterns are used to an increasing extent in the distinction of different types of epithelial malignancies. The cytokeratin antibodies are not only of assistance in the differential diagnosis of tumors using immunohistochemistry on tissue sections, but are also a useful tool in cytopathology and flow cytometric assays. The composition of cytokeratin pairs vary with the epithelial cell type, stage of differentiation, cellular growth environment, and disease state. Many studies have shown the usefulness of keratins as markers in cancer research and tumor diagnosis.
Specifications
| Cytokeratin Pan | |
| Cocktail | |
| 0.2 mg/mL | |
| PBS with 0.05% BSA and 0.05% sodium azide; pH 7.4 | |
| P02533, P02535, P02538, P04104, P04264, P05783, P05784, P05787, P07744, P08727, P08729, P08730, P08779, P11679, P12035, P13645, P13646, P13647, P19001, P19012, P19013, P35908, P50446, Q01546, Q04695, Q3TTY5, Q3UV17, Q61414, Q61781, Q6IFZ6, Q7Z794, Q922U2, Q9DCV7, Q9QWL7, Q9Z2K1 | |
| KRT1, KRT10, KRT13, KRT14, KRT15, KRT16, KRT17, KRT18, KRT19, KRT2, KRT3, KRT4, KRT5, Krt6a, KRT7, KRT76, KRT77, KRT8 | |
| Human epidermal keratins. | |
| 500 μL | |
| Primary | |
| Human, Mouse | |
| Antibody | |
| IgG κ |
| Immunohistochemistry (Paraffin), Western Blot, Immunocytochemistry | |
| PAN-CK | |
| Unconjugated | |
| KRT19 | |
| 2310016L08Rik; 3300001P10Rik; 39.1; 40-kDa keratin intermediate filament; 47 kDa cytokeratin; 56 kDa cytokeratin; 57kd keratin; 57kDa keratin; 58 kDa cytokeratin; 60-kDa keratin; 63kDa Keratin; 65 kDa cytokeratin; 67 kDa cytokeratin; AA960620; adult keratin; AI324768; AI528832; AI626930; AI663979; AL022697; alpha keratin; AU019895; AW108092; AW146334; basic epidermal type II cytokeratin (carboxy-terminal region, clone pUF164); BB005427; BCIE; BIE; Card2; cell proliferation-inducing gene 46 protein; CK 2e; CK1; CK-1; CK10; CK-10; CK13; CK-13; CK14; CK-14; CK15; CK-15; CK16; CK-16; CK-17; CK18; CK-18; CK19; CK-19; CK-1B; CK-2e; CK3; CK-3; CK4; CK-4; CK5; CK-5; ck55; CK6A; CK-6A; CK6C; CK-6C; CK6D; CK-6D; CK-6E; CK7; CK-7; CK8; CK-8; CYK18; CYK4; CYK8; CYKER; cytokeratin 1; cytokeratin 10; cytokeratin 13; cytokeratin 14; cytokeratin 15; cytokeratin 16; cytokeratin 18; cytokeratin 19; cytokeratin 3; cytokeratin 4; cytokeratin 5; cytokeratin 6A; cytokeratin 6C; cytokeratin 6D; cytokeratin 7; cytokeratin 8; cytokeratin 8 (370 AA); cytokeratin endo A; Cytokeratin endo B; cytokeratin otokeratin; cytokeratin type II; cytokeratin type II, component Ib/c; cytokeratin type II, component III; cytokeratin VIB; cytokeratin VII; cytokeratin-1; Cytokeratin-10; cytokeratin-13; Cytokeratin-14; cytokeratin-15; Cytokeratin-16; cytokeratin-17; Cytokeratin-18; cytokeratin-19; Cytokeratin-1B; Cytokeratin-2e; cytokeratin-3; Cytokeratin-4; cytokeratin-5; Cytokeratin-6A; cytokeratin-6B; cytokeratin-6C; Cytokeratin-6D; cytokeratin-6E; cytokeratin-7; Cytokeratin-8; cytokeratin-A; Cytoskeletal 57 kDa keratin; D130054E02Rik; D15Wsu77e; DDD; DDD1; ear specific cytokeratin; EBS2; ebs3; ebs4; EGK_03684; EGK_03685; EHK; EHK1; Endo B; EndoA; EndoC; epidermal keratin 10; epidermal keratin VII; epidermolysis bullosa simplex 2 Dowling-Meara/Kobner/Weber-Cockayne types; epidermolysis bullosa simplex, Dowling-Meara, Koebner; epidermolytic hyperkeratosis 1; epidermolytic hyperkeratosis; keratosis palmaris et plantaris; epithelial keratin 1; epithelial keratin 10; epithelial keratin 2e; Epithelial keratin-1; Epithelial keratin-2e; EPPK; fgk; fin and gill keratin; FNEPPK; focal non-epidermolytic palmoplantar keratoderma; GK-19; Hair alpha protein; HMWCK; Hom s 5; I79_019823; I79_021074; I79_023185; I79_024335; intermediate filament protein; K1; K10; K13; K14; K15; K16; K17; K18; K19; K1B; K1C1; K1CO; K1CP; K1CS; K2C7; K2C8; K2e; K3; K3 keratin; K4; K5; K6A; K6a keratin; K6C; K6D; K7; K77; K8; Ka10; Ka13; Ka14; Ka15; Ka16; Ka17; Ka19; kamp-keratin derived antimicrobial peptide; Kb1; Kb2; Kb4; Kb7; KDAMP; KER1; Ker10; Ker2; KERA; keratin; keratin 1; keratin 1 (epidermolytic hyperkeratosis); keratin 1, type II; keratin 10; keratin 10 (epidermolytic hyperkeratosis); keratin 10 (epidermolytic hyperkeratosis; keratosis palmaris et plantaris); keratin 10, type I; keratin 10, type I L homeolog; keratin 10, type I S homeolog; keratin 12, gene 2 S homeolog; keratin 13; keratin 13, type I; keratin 13, type I S homeolog; keratin 14; keratin 14 (epidermolysis bullosa simplex, Dowling-Meara, Koebner); keratin 14, type I; keratin 14, type I L homeolog; keratin 15; keratin 15, gene 1 S homeolog; keratin 15, type I; keratin 16; keratin 16 (focal non-epidermolytic palmoplantar keratoderma); keratin 16, type I; keratin 16, type I S homeolog; keratin 17; keratin 17 L homeolog; keratin 17, type I; keratin 17, type I L homeolog; keratin 18; keratin 18, type I; keratin 19; keratin 19 S homeolog; keratin 19 S homeolog; keratin 19; keratin 19, type I; Keratin 1B; keratin 2; keratin 2 (epidermal ichthyosis bullosa of Siemens); keratin 2 epidermis; keratin 2, type II; keratin 24; keratin 2A; keratin 2A (epidermal ichthyosis bullosa of Siemens); keratin 3; keratin 3, type II; keratin 4; keratin 4, type II; keratin 5; keratin 5 (epidermolysis bullosa simplex Dowling-Meara/Kobner/Weber-Cockayne types); keratin 5 (epidermolysis bullosa simplex, Dowling-Meara/Kobner/Weber-Cockayne types) | |
| Mouse | |
| Protein A/G | |
| RUO | |
| 110308, 110310, 16661, 16663, 16664, 16665, 16666, 16667, 16668, 16669, 16678, 16681, 16682, 16687, 16691, 374454, 3848, 3849, 3850, 3851, 3852, 3853, 3855, 3856, 3858, 3860, 3861, 3866, 3868, 3872, 3875, 3880, 406220, 51350, 77055 | |
| 4°C | |
| Liquid |
Your input is important to us. Please complete this form to provide feedback related to the content on this product.