missing translation for 'onlineSavingsMsg'
Learn More

ABCB1 Monoclonal Antibody (OTI2G6), TrueMAB™, OriGene

Mouse Monoclonal Antibody

Brand:  Origene Technologies TA801008S

Encompass_Preferred

 View more versions of this product

Product Code. 17599242

  • 242.00 EUR / 30µL

Please to purchase this item. Need a web account? Register with us today!

This item is not returnable. View return policy

Description

Description

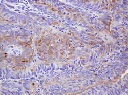
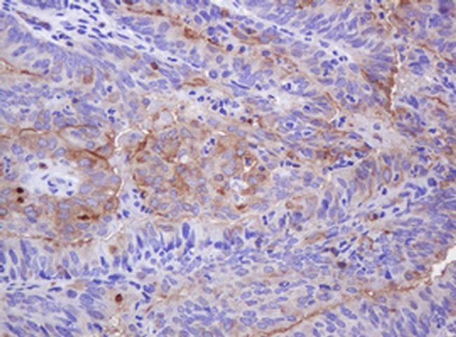
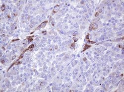
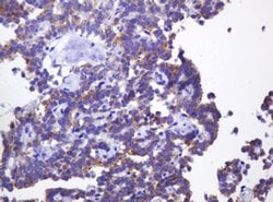
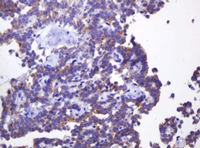
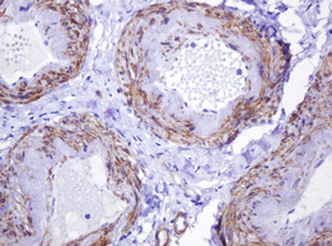
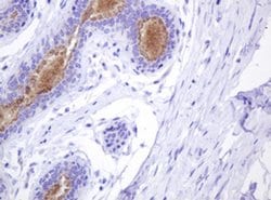
ABCB1 Monoclonal antibody specifically detects ABCB1 in Human samples. It is validated for Immunohistochemistry (Paraffin), Western Blot
Specifications

Specifications

ABCB1
Monoclonal
1 mg/mL
PBS with 1% BSA, 50% glycerol and 0.02% sodium azide
P08183
Mouse
Affinity chromatography
RUO
5243
-20° C, Avoid Freeze/Thaw Cycles
IgG1
Immunohistochemistry (Paraffin), Western Blot
OTI2G6
Unconjugated
ABCB1
ABC superfamily; P-glycoprotein; ABC20; ABCB1; Abcb1a; Abcb1b; Abcb4; ATP binding cassette subfamily B member 1; ATP-binding cassette sub-family B (MDR/TAP) member 1 (P-glycoprotein/multidrug resistance 1); ATP-binding cassette sub-family B member 1; ATP-binding cassette sub-family B member 1A; ATP-binding cassette sub-family B member 1B; ATP-binding cassette transporter subfamily B, member 1; ATP-binding cassette, sub-family B (MDR/TAP), member 1; ATP-binding cassette, sub-family B (MDR/TAP), member 1 (P-glycoprotein/multidrug resistance 1); ATP-binding cassette, subfamily B (MDR/TAP), member 1A; ATP-binding cassette, sub-family B (MDR/TAP), member 1A; ATP-binding cassette, subfamily B (MDR/TAP), member 1B; ATP-binding cassette, sub-family B (MDR/TAP), member 1B; ATP-binding cassette, sub-family B (MDR/TAP), member 4; ATP-binding cassette, subfamily B, member 1A; ATP-binding cassette, subfamily B, member 1B; ATP-dependent translocase ABCB1; ATP-dependent translocase ABCB1; multidrug r
Human recombinant protein fragment corresponding to amino acids 995-1280 of human ABCB1 produced in SF9 cell.
30 μL
Primary
Human
Liquid
Product Suggestions

Product Suggestions

Videos
SDS
Documents

Documents

Certificates
Promotions

Promotions

Product Content Correction

The Fisher Scientific Encompass Program offers items which are not part of our distribution portfolio. These products typically do not have pictures or detailed descriptions. However, we are committed to improving your shopping experience. Please use the form below to provide feedback related to the content on this product.

Product Title

By clicking Submit, you acknowledge that you may be contacted by Fisher Scientific in regards to the feedback you have provided in this form. We will not share your information for any other purposes. All contact information provided shall also be maintained in accordance with our Privacy Policy.

Thank You! Your feedback has been submitted. Fisher Scientific is always working to improve our content for you. We appreciate your feedback.